Lesões nos dedos são frequentes no consultório, principalmente após quedas, impactos ou atividades esportivas.
Muitos dos meus pacientes ficam na dúvida: como saber se desloquei o dedo da mão?
A luxação acontece quando os ossos da articulação saem do alinhamento normal, que costuma provocar dor forte, inchaço e perda de função, com dificuldade real para mexer o dedo.
Quando a luxação não é reconhecida logo no início e é tratada como uma contusão, a articulação pode cicatrizar “fora do padrão”, favorecendo rigidez, instabilidade e dor que se mantém mesmo após a melhora do edema.
Um diagnóstico precoce direciona a conduta correta, acelera a recuperação funcional e diminui a chance de complicações nas semanas e meses seguintes.
O que é a luxação do dedo da mão
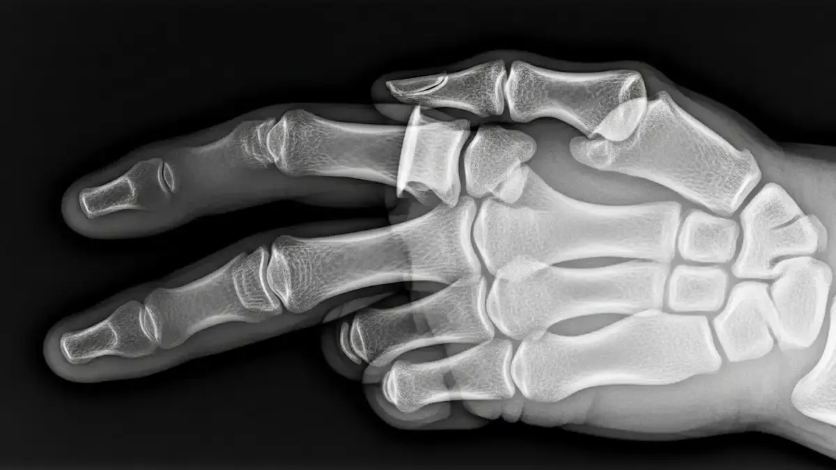
A luxação do dedo é o deslocamento dos ossos da articulação, com perda do alinhamento anatômico normal.
Na maior parte dos casos, o problema envolve as articulações interfalângicas, principalmente a interfalângica proximal, localizada na porção média do dedo.
Ainda assim, qualquer articulação pode sofrer o deslocamento, dependendo do mecanismo do trauma.
Na prática clínica, o quadro aparece com mais frequência após impacto direto, torçãoou hiperextensão do dedo.
Em parte dos casos, a luxação vem acompanhada de lesão dos ligamentose pode coexistir com pequenas fraturas, o que muda a conduta e a necessidade de imobilização e controle por imagem.
Principais causas do deslocamento do dedo
Entre as causas mais frequentes, destacam-se:
- Quedas com apoio da mão.
- Traumas durante esportes com bola.
- Acidentes domésticos.
- Situações em que o dedo sofre uma hiperextensão súbita.
No consultório, é comum ouvir relatos de lesão após a tentativa de proteger o corpo em uma queda ou depois de um impacto direto na extremidade do dedo.
Durante a prática de esportes como basquete, vôlei e futebol, esse risco se intensifica pelo choque direto com a bola e pelo contato entre os jogadores.
Como saber se desloquei o dedo da mão: sintomas que ajudam
Os sinais costumam ser evidentes logo após o trauma.
O dedo pode ficar visivelmente deformado, com desvio ou posição anormal. A dor tende a ser imediata e forte, seguida por aumento do inchaço nas horas seguintes.
Também são frequentes a dificuldade importante para movimentar o dedo, dor ao toque e aparecimento de hematoma.
Nos casos com lesão ligamentar associada, é comum perceber sensação de “frouxidão” ou instabilidade da articulação depois que o edema diminui.
Diferença entre luxação, entorse e fratura
Nem toda dor no dedo indica uma luxação.
- No entorse, os ligamentos são estiradosNo entorse, os ou parcialmente rompidos, sem perda do alinhamento ósseo.
- Já na fratura, ocorre a quebra do osso, podendo ou não haver desvio.
- A luxação se caracteriza pelo deslocamento da articulação, muitas vezes perceptível visualmente.
Mesmo assim, apenas a avaliação médica com exame de imagem confirma o diagnóstico correto.
Como é feito o diagnóstico
O diagnóstico começa com o exame clínico, avaliando o alinhamento, a mobilidade e a estabilidade do dedo.
Radiografias em diferentes ângulos são solicitadas para confirmar a luxação e descartar fraturas associadas.
Em situações específicas, exames como a ressonância magnética ajudam a avaliar lesões ligamentares ou cartilaginosas.
Nesses casos, consultar um ortopedista com experiência em lesões na mão é fundamental para definir a conduta adequada.
Tratamento
O tratamento depende do tipo de luxação e das estruturas comprometidas.
Na maioria dos casos, é realizada a redução fechada, procedimento em que o médico reposiciona os ossos manualmente após anestesia local.
Após o realinhamento, o dedo é imobilizado com tala por um período que costuma variar entre duas e quatro semanas.
Durante esse tempo, o controle da dor e do inchaço é feito com medidas simples, sempre respeitando a orientação médica.
Quando há instabilidade, fraturas associadas ou falha na redução manual, a cirurgia pode ser indicada.
A reabilitação com fisioterapia auxilia na recuperação da mobilidade e da força, reduzindo o risco de rigidez.
Quando procurar atendimento especializado
Sempre que houver suspeita de deslocamento, deformidade evidente ou dor intensa, a avaliação médica deve ser imediata.
Tentar reposicionar o dedo sem orientação pode agravar a lesão.
No acompanhamento dos meus pacientes, o diagnóstico correto e o tratamento precoce fazem grande diferença no resultado final.
Avaliar com um profissional capacitado permite diagnosticar e tratar a lesão de forma segura.
FAQs
Dedo luxado dói muito?
Sim. A dor costuma ser intensa no momento da lesão e pode vir acompanhada de inchaço e deformidade.
É possível mexer o dedo mesmo estando deslocado?
Em alguns casos, o movimento ainda é possível, mas costuma ser limitado e doloroso.
Toda luxação precisa de cirurgia?
Não. A maioria é tratada com redução manual e imobilização, sem necessidade de cirurgia.
Quanto tempo leva para recuperar um dedo deslocado?
O tempo varia conforme a gravidade, mas geralmente a recuperação ocorre em poucas semanas com tratamento adequado.
Posso voltar às atividades logo após a redução?
Não. É importante respeitar o período de imobilização e a reabilitação indicada para evitar novas lesões.





