Pular para o conteúdo
WhatsApp (62) 3089-0978 Goiânia - St. Bela Vista

Blog

Artigos e Dicas de Ortopedia

Informações confiáveis sobre saúde óssea, articular e muscular pelo Dr. Henrique Bufaiçal.

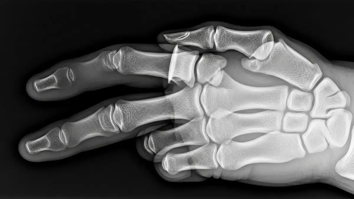
Como Saber Se Desloquei O Dedo Da Mão?

Como Saber Se Desloquei O Dedo Da Mão?

Lesões nos dedos são frequentes no consultório, principalmente após quedas, impactos ou atividades esportivas. Muitos dos meus pacientes ficam na dúvida: como saber se desloquei o dedo da mão? A luxação acontece quando os ossos da articulação saem...

Ler artigo completo →