Pular para o conteúdo
WhatsApp (62) 3089-0978 Goiânia - St. Bela Vista
fraturas

Fratura de Bennett: sintomas, diagnóstico e tratamento

Fratura de Bennett: sintomas, diagnóstico e tratamento

Fratura de Bennett é uma lesão na base do primeiro metacarpo que alcança a articulação do polegar. Afeta a pinça e o aperto, com dor ao segurar objetos, abrir tampas ou girar a chave.

Neste guia, apresento as causas, sinais mais comuns, exames que confirmam o diagnóstico, opções de tratamento e o passo a passo da reabilitação, com orientações práticas para encurtar o tempo de recuperação.

O que é fratura de Bennett

Trata-se de uma fratura intra-articular da base do primeiro metacarpo, na junção com o osso trapézio.

O padrão costuma ser instável pela ação muscular que puxa o fragmento, por isso, o alinhamento correto é decisivo para proteger a cartilagem da articulação carpometacarpal do polegar.

Causas e mecanismos mais comuns

A fratura de Bennett geralmente surge com carga axial no polegar flexionado, queda sobre a mão estendida, pancada direta ou torção brusca.

É frequente em esportes de contato e lutas, além de atividades que exigem pinça forte e repetitiva.

  • Soco em superfície rígida ou impacto no esporte.
  • Queda com a mão no chão e o polegar dobrado.
  • Trauma ocupacional com uso intenso da pinça.

Sinais e sintomas

Além da dor na base do polegar, especialmente ao apertar, abrir embalagens ou girar chaves, outros sintomas descritos são:

  • Inchaço e hematoma.
  • A preensão de pinça perde força, e movimentos finos ficam limitados.
  • Sensibilidade à palpação e dificuldade para tarefas simples.

Como é feito o diagnóstico

O exame físico identifica a dor localizada e limitação funcional. Radiografias confirmam a fratura de Bennett e avaliam o desalinhamento.

Em casos selecionados, a tomografia ajuda a medir incongruências articulares e planejar o tratamento.

Quando é possível tratar sem cirurgia

Nos casos estáveis, sem desvio, pode-se usar imobilização tipo espica do polegar por 3 a 4 semanas, com controle radiográfico.

Analgésicos, gelo e proteção de carga ajudam na fase inicial, sendo importante revisões clínicas e radiográficas periódicas, além de transição gradual para órtese removível conforme a dor e edema.

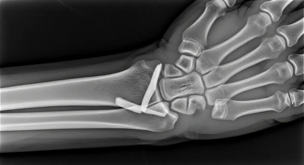
Cirurgia: quando indicar e quais técnicas

A cirurgia é indicada quando existe instabilidade, subluxação persistente ou degrau articular relevante. O objetivo é restaurar o alinhamento, estabilizar a fratura e preservar a articulação do polegar.

  • Redução fechada com fixação percutânea usando fios ou parafusos.
  • Redução aberta e fixação interna quando não se obtém alinhamento adequado de modo fechado.
  • Imobilização pós-operatória seguida de reabilitação dirigida.

Reabilitação e retorno às atividades

Após imobilização ou cirurgia, a terapia da mão conduz o ganho de mobilidade, controle de edema e recuperação da força. A progressão respeita a estabilidade da fratura e a dor do paciente.

  • Mobilidade ativa e ativa-assistida em fases iniciais, conforme liberação.
  • Fortalecimento progressivo de pinça e preensão.
  • Treino funcional para tarefas do dia a dia e retorno ao esporte.

Riscos, complicações e prognóstico

Sem alinhamento adequado, a fratura de Bennett pode evoluir com artrose precoce, dor crônica e rigidez.

Com redução correta, fixação estável e fisioterapia bem conduzida, a maioria retoma a função satisfatória.

Prevenção e dicas práticas

Para reduzir o risco, recomendo:

  • Avaliar a técnica esportiva.
  • Usar proteção adequada.
  • fazer fortalecimento específico do polegar e do punho.

Ao primeiro sinal de dor após trauma, evite esforços e agende sua consulta para avaliar mais detalhadamente seu caso e pensarmos na melhor estratégia.

FAQs

Fratura de Bennett sempre precisa de cirurgia?

Nem sempre. Casos estáveis, sem desvio, podem ser tratados com imobilização e acompanhamento. A decisão depende do alinhamento articular e da estabilidade.

Quanto tempo leva para voltar às atividades?

A consolidação ocorre em cerca de 4 a 6 semanas, porém a recuperação funcional completa pode exigir mais tempo. O retorno esportivo é liberado conforme dor, força e mobilidade.

Qual é a diferença entre fratura de Bennett e fratura de Rolando?

Ambas acometem a base do primeiro metacarpo. A fratura de Bennett é em duas partes, já a fratura de Rolando costuma ser cominutiva, em “T” ou “Y”, e tende a ser mais instável.

Quando devo procurar um ortopedista?

Após trauma com dor na base do polegar, inchaço ou perda de força, busque avaliação. Quanto mais cedo alinhar a articulação, melhor o prognóstico.

A fratura de Bennett pode causar artrose?

Pode, principalmente quando há desalinhamento residual. O tratamento correto e a reabilitação reduzem esse risco.

Compartilhar:
Dr. Henrique Bufaiçal - Ortopedista Especialista em Mãos
Escrito por

Dr. Henrique Bufaiçal

Ortopedista Especialista em mãos Goiânia. Há mais de 15 anos dedicando-se exclusivamente aos cuidados ortopédicos e à cirurgia da mão, com experiência nacional e internacional e foco em uma abordagem humanizada e eficaz.

@bufaical